Most of us are not perfectly symmetrical. We may have a dimple only on the right cheek or maybe one ear that sits higher than the other. These features are harmless – they are a part of what makes us unique. However, some asymmetries within the body can in fact affect your health; one of the most common being leg length. When one leg is shorter than the other this is a condition called leg length discrepancy (LLD). Research indicates that LLD is present in 90% of the human population, with 20% of the population exhibiting a difference in leg length greater than 9 mm.
What are the Symptoms of Leg Length Discrepancy?
The symptoms of LLD vary from person to person. Some people with LLD have no symptoms, while others experience debilitating pain and disability. The presence and severity of symptoms may depend on the size of the LLD, body type, activity level, and age.
Common symptoms include:
- Low Back Pain
- HipPain
- SI Joint/Pelvic Discomfot
- Knee pain
- Ankle pain
- Foot pain
- Functional scoliosis
- Structural Abnormalities
- Gait dysfunction
- Degenerative Disc Disease
- Osteoarthritis
What are the causes of leg length discrepancy?
Although limb length discrepancies are often diagnosed in adulthood, most LLD’s develop between birth and adolescence. Causes of LLD are classified as either congenital or acquired.
- Congenital Limb Length Discrepancy: Individuals with congenital LLD are born with legs that are of unequal length. The cause of congenital LLD is unknown in most cases.
- Acquired Limb Length Discrepancy: Acquired LLD occurs when growth plates of the thigh bone (femur) and or shin bones (tibia and fibula) are disrupted or damaged. Acquired LLD occurs during either childhood or adolescence before reaching skeletal maturity. Acquired LLD can be broken down into three subcategories:
- Mechanical: it can be caused of slowed bone growth is due to abnormal body mechanics driven by poor posture. When a child or adolescent displays postural issues that shift his or her body weight off to either the left or right, a greater amount of pressure is applied to the leg bones on the side the body weight is shifted towards. Increased pressure in one leg can slow down its growth while the other leg continues to grow normally.
- Traumatic: a fracture or injury to the leg bones before an individual is done growing can alter the rate of growth in the injured leg. Some leg injuries can slow down the growth of the leg, while others can lead to overgrowth of bone during the healing process.
How we Diagnose and Treat Leg Length Discrepancy
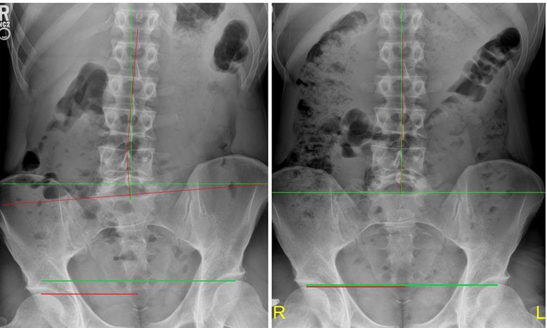
Since most leg length discrepancies occur before adulthood, identifying and managing LLD at an early age is ideal. However, if signs and symptoms of LLD such as limping, pain, and or postural issues exist at any age, it is important to seek the care of a musculoskeletal specialist. At Noracare Wellness, our Board-CertifiedPhysicians and providers are trained in the assessment and management of LLD. If LLD is suspected, we use the most accurate method to identify and measure LLD through digital static and/or motion x-ray of the lumbo-pelvic hip complex with complex and precise biomechanical analysis.
Treatment options for patients with LLD vary. Patients with severe LLD, LLD following a recent trauma or pathological LLD may require surgical intervention. However, a majority of LLD cases can be managed through conservative non-surgical treatment. At Noracare Wellness, we use CBP structural rehabilitation techniques including mirror image adjustments, spinal remodeling traction, postural exercises and/or custom heel/sole lifts to reduce the LLD and to successfully manage postural imbalances that occur as a result of LLD. We will work with you to review the available options and decide the best course of treatment based on your or your child’s individual needs.
Below is a recent patient at Noracare Wellness Center with a right sided LLD measured at 16.9 mm and postural imbalance (left x-ray image). The x-ray on the right shows LLD reduction to 2.1 mm and improved postural balance using a right sided heel lift. As a result, the patients’ hip pain reduced by 80%.
At Noracare Wellness every patient’s condition is unique and will be fully assessed by one of our Board-Certified Physicians before a customized treatment plan is recommended. For more information contact us today at (201) 880-1400 to begin your path to healing!



















